Gynecology & Obstetrics

Research and innovation from the gynecology and obstetrics specialists at Vanderbilt Health

Latest in Gynecology & Obstetrics
Child Chemotherapy Patient Finishing Treatment with a Ceremonial Bell Ring

Preserving Fertility Options After Treatment is Advocates’ Goal

Call-to-action urges preservation of reproduction as part of pediatric cancer care protocols.
Young woman checking blood pressure at home

Guidelines Help Non-specialists Treat Obstetric Hypertension

Two toolkits help clinicians identify hypertensive disorders and prevent emergencies during pregnancy and the postpartum period.
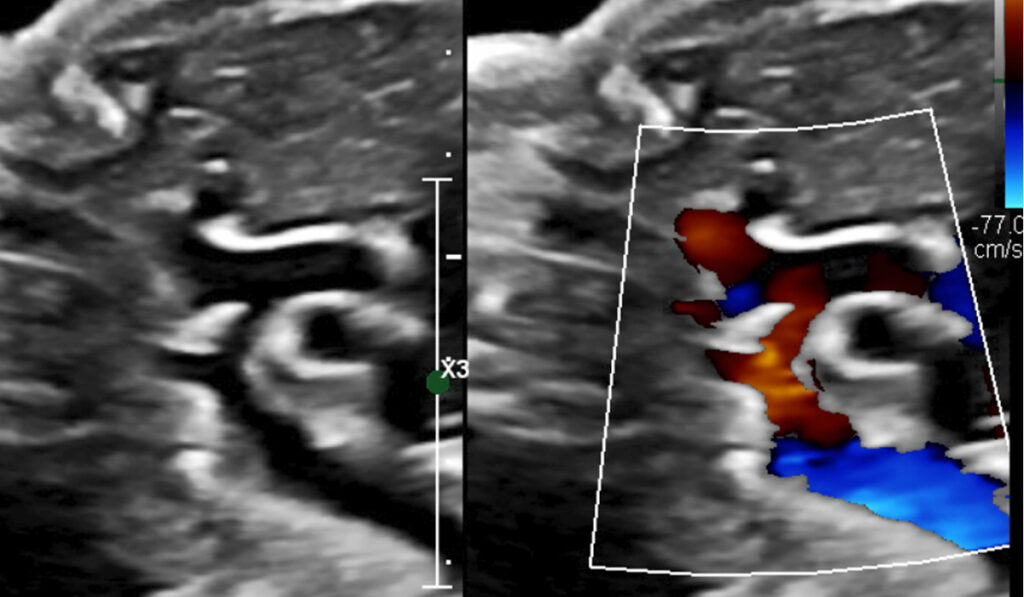
Mom having a sonogram

How a Rare Pseudoaneurysm Escaped Misdiagnosis

Echogenic mass seen in prenatal echocardiogram mimics a benign rhabdomyoma.

Medical expertise infused with integrated technology allows Vanderbilt Health specialists to build partnerships and elevate care in complex and specialized cases. Browse our referral directory or log into our online portal for referring providers.

Make a Referral
Tears from a mother's eye falling into an empty bowl

Malnutrition and Maternal Depression Linked in Sickle Cell Study

Study finds maternal depression is independently associated with malnutrition in Nigerian children with sickle cell anemia.
Closeup of adult holding infant's hand

Teamwork Advances Cardiac Care Before and After Birth

A Monroe Carell multi-specialist team joined intensive efforts to save an Ebstein’s anomaly patient, illustrating advances in multi-center research and communication.

Ventriculostomy After Fetal Repair Enhances Care for Severe Spina Bifida

In treating hydrocephalus following fetal repair of myelomeningocele, endoscopic third ventriculostomy may be recommended.

Conversational Format Encourages End-of-Life Planning

A new style of advanced-care planning packet helped increase the number of patients with advance directives in the EMR.

Genetic Counselors Optimize Benefits of Prenatal Screening 

Genetic counselors and physicians in maternal-fetal medicine stay abreast of fast-moving advances in DNA screening.

Intervention Reduces Malpractice Claims and Payouts

An intervention model aims to identify and reduce malpractice risk for large, single-specialty practices.